BECAUSE WE DO CARE
มอบ รอยยิ้ม ที่มั่นใจ
ให้ทุกคนในครอบครัว
ทีมแพทย์เกียรตินิยม
จุฬา และ มหิดล


เราสร้างคลินิก BWDC ขึ้นมาเพื่อดูแลทุกคนเปรียบเสมือนคนในครอบครัว เพื่อให้คุณไม่ต้องประสบปัญหาเดิมๆ
ทางเราจึงไม่เพียงแค่ทำฟันเท่านั้น แต่เราตั้งใจมอบการรักษาที่ดีที่สุด มีคุณภาพ และสร้างประสบการณ์ที่ดีให้แก่คุณ มาเป็นครอบครัว BWDC ด้วยกันนะคะ
OUR SERVICES
การรักษาจากแพทย์เฉพาะทาง
BWDC คลินิกทันตกรรมโดยแพทย์เฉพาะทาง เพื่อดูแลสุขภาพฟันให้คุณและครอบครัวอย่างมีคุณภาพสูงสุด

รากฟันเทียม
Dental Implant

วีเนียร์ และครอบฟัน
Dental Veneers & Crowns

ทันตกรรมสำหรับเด็ก
Pediatric Dentistry

ทำฟันปลอม
Denture

จัดฟัน
Dental Braces

รักษารากฟัน
Root Canal Treatment

ผ่าฟันคุด และฟันฝัง
Dental Surgery

ทำฟัน อุดฟัน ขูดหินปูน
General Dentistry
Review Before & After
รีวิวผลงานการรักษา
คุณสามารถมั่นใจทุกการรักษาจากทีมแพทย์เฉพาะทางของเรา


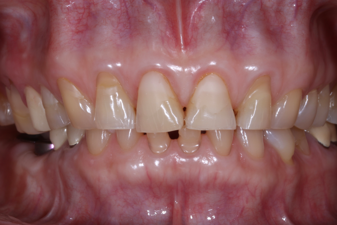
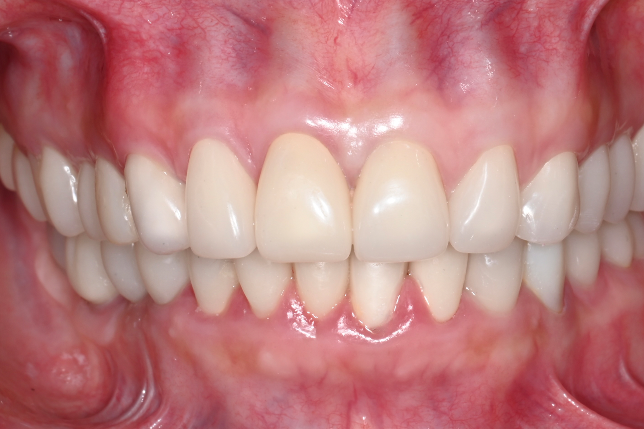
Dental Veneers & Crowns
ผลงาน วีเนียร์
สวยอย่างมีระดับ ด้วย พรีเมียมวีเนียร์ ที่มาพร้อมคุณหมอผู้เชี่ยวชาญด้านความงามโดยเฉพาะ จากรูปตัวอย่างจะเห็นได้ว่า


Dental Implant
รากเทียม
ฟันใหม่ที่เหมือนธรรมชาติ มั่นใจทุกครั้งในการเคี้ยว ด้วยเทคนิคการรักษากระดูกและเหงือกที่เป็นฐานรองรับรากเทียมอย่างเป็นพิเศษ ทำให้ได้ฟันที่ดูเป็นธรรมชาติมากที่สุด และอยู่กับคุณไปอีกนาน คุณเลือกได้ที่ BWDC


Full Mouth Rehabilitation
บูรณะฟันทั้งช่องปาก
เสกรอยยิ้มให้คุณเป็นคนใหม่ได้ ด้วยการบูรณะฟันทั้งช่องปาก แก้ปัญหาฟันสึก ฟันสั้น ฟันแตกร้าวหลายซี่ด้วยครอบฟัน และทดแทนฟันที่ถูกถอนด้วยรากฟันเทียม ให้กลับมาสวยและเคี้ยวได้อย่างมั่นใจ เหมือนฟันธรรมชาติที่สุด


Denture
ฟันปลอม
การใส่ฟันปลอมอย่างมีศิลปะ ให้ออกมาสวย ดูธรรมชาติเหมือนไม่ใช่ฟันปลอม พร้อมเคี้ยวได้อย่างมั่นใจ เพราะดูแลติดตามอาการจนกว่าจะใช้งานได้ไม่เจ็บ

ทันตกรรมสำหรับเด็ก
เรามีคุณหมอผู้มากประสบการณ์ในการทำฟันเด็กพร้อมดูแลลูกน้อยของคุณ ให้ลูกน้อยของคุณมีประสบการณ์ที่ดีในการทำฟัน เพราะการมีฟันน้ำนมที่ดี เป็นรากฐานของการมีฟันแท้ที่แข็งแรงและยั่งยืน

เข้ามาปรึกษาพวกเราได้ที่ BWDC
โครงการ Work place ราชพฤกษ์-จรัญ
จอดรถฟรีในโครงการ
Work Place
Visit BWDC.
We're looking forward to see you!
มอบ รอยยิ้ม ที่มั่นใจ ให้ทุกคนในครอบครัว
BWDC


