
BWDC TEAM
การทำฟันปลอมทำไมต้องเลือกทำกับหมอเฉพาะทาง? ต่างกับทำข้างนอกตรงไหน? คุณเคยเจอ หรือได้ยินคนรอบตัวบ่นเรื่องนี้หรือไม่?
- ทำไปแล้วก็เจ็บตลอด ใส่ไม่ได้ ต้องทิ้ง?
- ฟันปลอมหลวม หลุดตลอด?
- ใช้เคี้ยวแล้วกระดกไปมา?
- ฟันยื่น ดูใหญ่?
- ฟันดูไม่สวย ไม่เป็นธรรมชาติ?
- วัสดุคุณภาพต่ำ เปราะแตกง่าย เหลืองเร็ว มีกลิ่นเหม็น?


หรืออาจจะมีปัญหาอื่นๆที่คนไข้ไม่รู้ตัว เช่นฟันปลอมไม่เจ็บ แต่ทำให้สันเหงือกละลายตัวอย่างรวดเร็ว เพราะการกระจายแรงไม่เหมาะสม หรือทำให้ฟันธรรมชาติโยก จนต้องถอนตามมาภายหลัง
การดูแลโดยแพทย์เฉพาะทางที่ BWDC เราคำนึงถึงปัญหาเหล่านี้ และทำการวางแผนการรักษา ออกแบบและสร้างฟันปลอมชิ้นใหม่ให้ออกมาดีที่สุด ทำให้เคี้ยวอาหารได้ เพิ่มคุณภาพชีวิต ให้มีสุขภาพแข็งแรง ยืดอายุให้ยืนยาว มีความมั่นใจในการเข้าสังคม
Dr. Peeraya Chitpattakul
จุดเด่นทำฟันปลอม ต้องที่ BWDC
- วัสดุคุณภาพพิเศษสำหรับคุณ อายุการใช้งานนาน ไม่ดูดสี และไม่ดูดกลิ่น
- ประสบการณ์รักษา โดยแพทย์เฉพาะทาง
- เราดูแลจนกว่าคนไข้จะใช้งานได้ ไม่เจ็บ
- ขั้นตอนละเอียดกว่า ใส่ใจทุกสเต็ป
- สามารถลองฟันได้ก่อนใช้งานจริงเพื่อความมั่นใจ
- คำนึงถึงความสวยงามร่วมด้วย ฟันดูเป็นธรรมชาติ

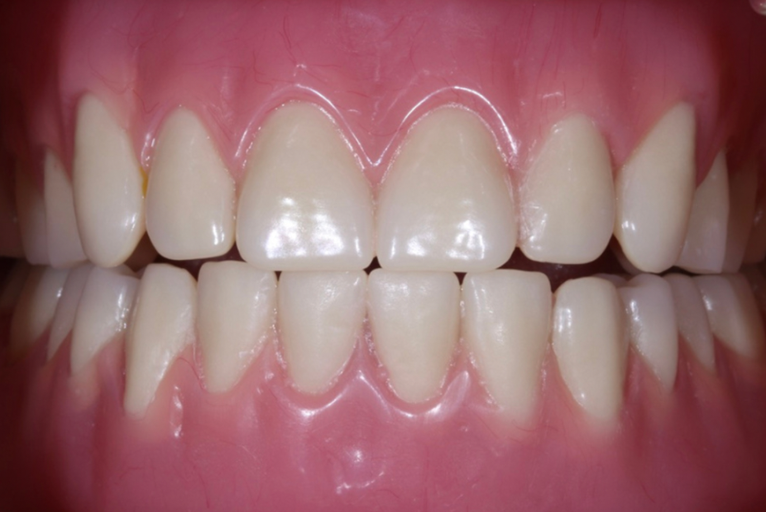
Review Before & After




อัตราค่ารักษา


